Ещё 8 впечатляющих рентгеновских снимков, которые можно показывать на уроках анатомии вместо учебника
Кадр, на котором изображён мозг с алкогольным поражением, очень поучительный!








Пациент-косплеер застрял в шлеме штурмовика. На самом деле нет.
КТ брюшной полости курьера, который попался на перевозке запрещенных веществ

Снимок лодыжки, который сделан с помощью цветного спектрального сканера

Рентгеновский снимок пациента весом 186 кг

Оперный певец Михаэль Фолле исполняет партию из оперы Рихарда Вагнера «Тангейзер»

Пациент с алкогольным поражением мозга. Из-за воздействия спиртных напитков головной мозг и мозжечок уменьшились в размерах

Кровеносные сосуды пальца. Вот почему начинает течь кровь, стоит лишь чуточку порезать палец

Аорта — самая крупная артерия нашего тела

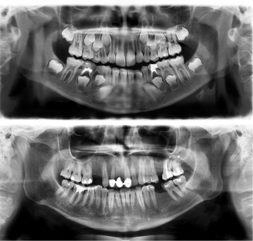
Так выглядят зубы человека в 7 (вверху) и в 30 лет

Бонус: иногда рентгенологи устают рассматривать снимки и решают пошутить

Пациент-косплеер застрял в шлеме штурмовика. На самом деле нет.
Так выглядит миниатюрный ядерный реактор Тони Старка на рентгеновском снимке.
Только зарегистрированные и авторизованные пользователи могут оставлять комментарии.

