Из-за конопли на фекалиях летучих мышей мужчины заразились смертельной инфекцией
Попытка вырастить коноплю с помощью «натурального удобрения» из помета летучих мышей обернулась трагедией: в Нью-Йорке журналисты сообщили о двух смертельных случаях редкой грибковой инфекции.

Двое мужчин из Рочестера, штат Нью-Йорк, США, скончались от тяжелой формы гистоплазмоза. Это инфекция возникает после вдыхания спор грибка, который активно развивается в почве, богатой пометом птиц и летучих мышей (гуано). Сообщается, что американцы использовали гуано в качестве удобрения для выращивания конопли.
Это редкое, но опасное осложнение, с которым сталкиваются все больше энтузиастов домашнего культивирования в США, — пишут западные эксперты.

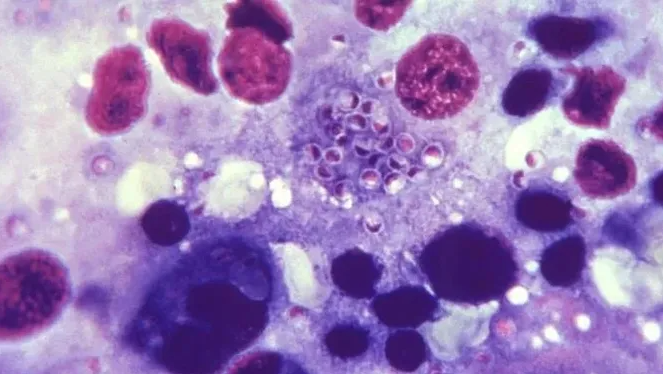
Изображение гриба, который вызывает гистоплазмоз /CDC/Dr. Lucille K. Georg via CDC PHIL
Первый страдал от сильной потери веса, боли в горле и проблем с дыханием.
У второго были низкие показатели натрия в крови, хронический кашель и трудности с приемом пищи.
Компьютерная томография выявила у обоих поражения в легких и грудной клетке.
Анализы показали наличие грибка Histoplasma capsulatum, который вызывает гистоплазмоз — заболевание, передающееся при вдыхании спор из почвы или органических удобрений.
Как выяснилось, первый пациент приобрел гуано через интернет, второй — использовал помет из собственного чердака после «нашествия летучих мышей». Врачи предполагают: именно контакт с зараженными фекалиями стал причиной инфекции.

После постановки диагноза мужчинам назначили противогрибковые препараты, но болезнь уже поразила их дыхательную систему слишком глубоко.
Оба американца скончались. По данным CDC, смертность среди госпитализированных пациентов с гистоплазмозом составляет от 5 до 7%. Между тем авторы отчета подчеркивают: несмотря на то что гуано продвигается как «органическое суперудобрение», его использование связано с серьезными рисками.
Проблема усугубляется ростом числа домашних культиваторов конопли после легализации ее в ряде штатов США, включая Нью-Йорк и Огайо.
Эксперты призывают не использовать гуано без соответствующей обработки и напомнили, что грибковые споры не уничтожаются простым хранением или сушкой. Гуано может быть опасно не только при выращивании каннабиса, но и в любом виде садоводства.

Двое мужчин из Рочестера, штат Нью-Йорк, США, скончались от тяжелой формы гистоплазмоза. Это инфекция возникает после вдыхания спор грибка, который активно развивается в почве, богатой пометом птиц и летучих мышей (гуано). Сообщается, что американцы использовали гуано в качестве удобрения для выращивания конопли.
Это редкое, но опасное осложнение, с которым сталкиваются все больше энтузиастов домашнего культивирования в США, — пишут западные эксперты.

Изображение гриба, который вызывает гистоплазмоз /CDC/Dr. Lucille K. Georg via CDC PHIL
Инфекция из-за гуано летучих мышей (для удобрения конопли)
Пациенты 59 и 64 лет не были знакомы друг с другом, но оба обратились в больницы штата Нью-Йоок с симптомами, которые вначале не вызывали у врачей подозрений на грибковую инфекцию.Первый страдал от сильной потери веса, боли в горле и проблем с дыханием.
У второго были низкие показатели натрия в крови, хронический кашель и трудности с приемом пищи.
Компьютерная томография выявила у обоих поражения в легких и грудной клетке.
Анализы показали наличие грибка Histoplasma capsulatum, который вызывает гистоплазмоз — заболевание, передающееся при вдыхании спор из почвы или органических удобрений.
Как выяснилось, первый пациент приобрел гуано через интернет, второй — использовал помет из собственного чердака после «нашествия летучих мышей». Врачи предполагают: именно контакт с зараженными фекалиями стал причиной инфекции.

Смерть из-за грибковой инфекции в США
Гистоплазмоз редко вызывает тяжелые последствия у здоровых людей, но опасен для тех, у кого ослаблена иммунная система или есть хронические заболевания легких (первый пациент 59 лет, например, страдал от эмфиземы).После постановки диагноза мужчинам назначили противогрибковые препараты, но болезнь уже поразила их дыхательную систему слишком глубоко.
Оба американца скончались. По данным CDC, смертность среди госпитализированных пациентов с гистоплазмозом составляет от 5 до 7%. Между тем авторы отчета подчеркивают: несмотря на то что гуано продвигается как «органическое суперудобрение», его использование связано с серьезными рисками.
Проблема усугубляется ростом числа домашних культиваторов конопли после легализации ее в ряде штатов США, включая Нью-Йорк и Огайо.
Эксперты призывают не использовать гуано без соответствующей обработки и напомнили, что грибковые споры не уничтожаются простым хранением или сушкой. Гуано может быть опасно не только при выращивании каннабиса, но и в любом виде садоводства.
Только зарегистрированные и авторизованные пользователи могут оставлять комментарии.
0
Вот нарики деб илы, уже и до говна добрались )))
- ↓

