10 величайших изобретений, которые спасли больше всего жизней
Пожалуй, одним из самых значимых изобретений в области спасения жизни стали хирургические инструменты – при раскопках в Греции и Египте их наборы были найдены среди артефактов, которые датируются V-VI веками до н. э. С появлением массового транспорта в начале XX века стали востребованы разработки транспортной безопасности. С тех пор принципиально мало что изменилось: основные изобретения, спасающие жизни, сконцентрированы в производстве, медицине и транспорте.

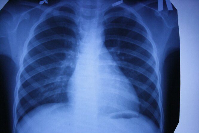
Рентгеновские снимки — первая в мире диагностическая визуализация. Сложно представить современную больницу без такого обследования. Это и флюорография для проверки наших легких, и снимки при заболеваниях суставов или переломах костей. Обнаружение на ранних стадиях туберкулеза или опухоли в легких увеличивает шансы на выздоровление. Кроме того, жесткое рентгеновское излучение может уничтожать раковые клетки. Принципы современной рентгеноскопии используются и в системах безопасности (сканеры в аэропортах, вокзалах и т. д.), и в производстве. В металлургии или машиностроении равномерность просканированной X-лучами структуры указывает на хорошие прочностные характеристики деталей. Таким же образом проверяются прочность бетонных конструкций для монолитного домостроения, сварные швы сложных металлоконструкций.
Одно из важнейших изобретений, спасающих человеческие жизни, создано на основе открытия Вильгельма Конрада Рентгена — немецкого физика, работавшего в Вюрцбургском университете в конце 19-го века. Обнаруженное им излучение было названо в его честь и позже классифицировано как электромагнитные волны в диапазоне между ультрафиолетовым и гамма-излучением. Тогда не было известно, что такие короткие волны образуются при резком торможении ускоренных электронов в момент их столкновения с атомами вещества анода. Открытие было случайным: в 1895 году Вильгельм Конрад Рентген, изучая свечение в катодной трубке, вдруг увидел, что одновременно с включением или выключением прибора начинает появляться или исчезать свечение на лежащем рядом картоне, покрытом кристаллами платиноцианистого бария. При этом катодная трубка была обернута черной плотной бумагой. Включая и выключая катодную трубку, ученный сделал вывод, что она служит источником всепроникающего излучения, которое и заставляет светиться чувствительные кристаллы платиноцианистого бария.
Продолжая изучать X-лучи, Рентген получил на своем оборудовании первый снимок костного скелета — кисти руки. С тех пор основные элементы обычного рентгеновского аппарата мало изменились: катодная (рентгеновская) трубка, питающее устройство (два трансформатора) и пленка-фотобумага из соединений серебра с галогенами, которые темнеют с различной интенсивностью в зависимости от плотности просвечиваемого материала и тем самым формируют изображение.
В 1917 году для анализа рентгеновских снимков был применен экспоненциальный закон ослабления излучения в веществах, который показал высокую точность. Это привело к появлению компьютерной томографии (трехмерного рентгена) — послойного исследования тканей и создания изображения с учетом разности поглощения рентгеновского излучения различными по плотности тканями. Изобретатели томографа — американец Аллан Кормак, разработавший в 1963 году математический алгоритм для томографического восстановления изображения, и британец Годфри Хаунсфилдом из фирмы EMI Ltd. Британец, используя алгоритм Кормака, в 1971 году создал первый компьютерный рентгеновский томограф EMI-scanner для сканирования мозга. В 1979 году оба получили Нобелевскую премию за разработку компьютерной томографии. Томограф проводит более точное диагностирование отдельных органов, а в особенности важен для определения заболеваний мозга и сосудов. Многие жизни были спасены благодаря безошибочному определению типа инсульта при помощи компьютерной томографии, которая и до сих пор считается важным условием диагностирования такого заболевания.

Первым эффективным методом борьбы с раковой опухолью было рентгеновское облучение. Почти сразу при открытии в 1895 году Х-лучей ученые заметили, что на частях тела, куда попадало излучение, оставались ожоги, что привело к мысли разрушать раковые клетки рентгеновским облучением. Первый сеанс рентгенотерапии был проведен 29 января 1896 года в Чикаго для пациентки с неоперабельным раком молочной железы. В течение последующих экспериментов стало известно, что рентгеновское излучение наиболее эффективно разрушает электронную структуру молекул в тканях с интенсивным делением клеток, что характерно для раковых опухолей. Поэтому такой вид лучевой терапии при раке легких до сих пор используется и в 10−15% случаев приводит к полному исцелению. Однако у этого способа есть побочные явления, как и у другого наиболее распространенного средства борьбы с раком — химиотерапии (введение лекарств через кровь или прием таблеток). Среди них — снижение иммунитета, аппетита, веса, появление слабости, тошноты, выпадение волос.
Второй способ лучевой терапии был найден также на рубеже 19 и 20 веков — при открытии радиации и радиоактивных элементов. В 1896 году француз Анри Беккерель, экспериментируя с солью урана, открыл естественную радиоактивность, а в 1898-м Мария Склодовская и Пьер Кюри открыли радиацию полония и радия. Тогда также были отмечены ожоги на участках тела, которые подвергались облучению. Но дозировать облучение в те годы не могли, поэтому появлялось мало сведений об успешном воздействии радиации на раковые клетки. Тем не менее именно эти эксперименты стали предвестником радиобиологии — науки о воздействии излучения на биологические объекты.
В мае 2013 года Mitsubishi Electric Corporation (MELCO) завершила сборку новой системы протонной терапии для лечения онкологических заболеваний, которая была разработана в Центре энергетических систем корпорации, расположенном в префектуре Хего (Япония). Технология, включает в себя ряд инновационных решений, таких как система генерации и канализации излучения повышенной мощности, высокоточное позиционирование луча при применении сканирующей системы, комбинированное использование технологий облучения сканирующим лучом и пассивного рассеивания с использованием коллиматоров на одном операционном столе.
При этом повышение интенсивности пучка частиц позволило сократить длительность облучения в 4 раза по сравнению с предыдущими системами, а это значит, что пациент проведет меньше времени в неподвижном зафиксированном состоянии. Высокоточное позиционирование луча при сканировании опухоли лучом выросло в 2 раза до 5 миллиметров, как и скорость сканирования — в 5 раз до 100 миллиметров в миллисекунду, что обеспечивает быстрое и аккуратное облучение даже сложной по форме опухоли, с минимизированным повреждением здоровых тканей. На данный момент в мире используются две технологии применения протонного облучения. Сканирующая система с помощью управляемого магнитами пучка частиц облучает точку за точкой всю опухоль. Технология пассивного рассеивания требует предварительного изготовления специального фильтра по форме опухоли — коллиматора, при прохождении через который пучок частиц равномерно облучает всю опухоль.

Это изобретение стало возможным с развитием кардиологии и появлением технологий по созданию синтетических тканей, полимерных материалов, не отторгаемых телом человека.
Миллионы жизней были спасены благодаря этому изобретению. Сердце человека четырехкамерное, и нарушение работы хотя бы одного из 4-х клапанов приводит к нарушению работы всей сердечной мышцы. В 1957 году был представлен первый искусственный действующий клапан с деталями из нержавеющей стали, волокна Nylon ® и створкой из политетрафтолэтилена Teflon ® (позже оба названия стали нарицательными и превратились в нейлон и тефлон). Патенты на изобретение обоих новаторских материалов принадлежат компании DuPont (нейлон в 1935 году, тефлон в 1937-м).
Первый имплантированный в сердце клапан в 1958 году имел створку из органосиликонового эластомера (полимера со свойствами резины). Современные клапаны делятся на два типа, в зависимости от используемого материала, — механические и биологические (например, из тканей клапанов сердца свиньи). В механических клапанах до сих пор применяются элементы из тефлона. Также используется пиролитический углерод, дакрон (синтетическое волокно).

«Мы его теряем» — эта фраза многим знакома по кадрам кинофильмов. Как правило, одновременно с этими словами показывают прямую линию исчезнувших сердечных ритмов на мониторе компьютера. После этого к груди умирающего прикладывают два похожих на утюги устройства и слышится звук разряда. Если сердечные ритмы на экране не появляются, процедуру повторяют. Принудительный запуск сердечной мышцы электрическим разрядом спас очень многих людей.
Это устройство называется «дефибриллятор» — от обратного к фибрилляции сердца, когда мышечные сокращения различных частей происходят аномально аритмично.
При сильной фибрилляции сердце останавливается. Это явление первыми изучили Жан-Луи Прево и Фредерик Бателли, которые в 1899 году опубликовали результаты своих исследований по остановке сердечных сокращений у собак после удара током.
В 1930-х годах в разных странах была изучена возможность электрошоковой дефибрилляции у животных — собак, кошек, лягушек. К 1956 году Пол Золл провел первую успешную дефибрилляцию с применением переменного тока напряжением 110 вольт при операции на открытом сердце человека. С 1960 года в нескольких странах практически одновременно были созданы автономные дефибрилляторы. Эффективность этих устройств отмечена при воздействии мгновенным электрическим импульсом в доли секунды напряжением 1500 — 2500 вольт на обнаженное сердце во время операций и до 7000 вольт при невскрытой грудной клетке.

Заболевания сосудов наряду с сердечными болезнями остаются одними из самых опасных и частых в мире. Малоподвижный образ жизни, фастфуд, стрессы — и уже нарушается нормальный обмен веществ, паталогически меняется просвет сосудов. Это приводит к ишемической болезни сердца, инфаркту. Спасти человека в этой ситуации может только стент — искусственный элемент цилиндрической формы. Его вводят, как правило, через бедренную артерию на пластичном баллонном катетере к месту сужения сосуда. Хирург визуально наблюдает движение стента на экране рентгеновского аппарата. При достижении пораженного участка сосуда хирург активирует подачу газа в баллон, на котором закреплен стент, — раздуваясь, баллон вдавливает его в стенку сосуда. Регулируется требуемый просвет стента-сосуда за счет определенного давления в баллоне. После этого газ откачивается, но стент сохраняет заданный просвет.
Кардиохирурги давно обсуждали идею замены пораженного участка сосуда, но сложность была в правильном подборе материалов стента и в технологии его вживления. Наконец в 1986 году Жак Пуэль и Ульрих Зигварт впервые имплантировали стент больному во Франции. Первые стенты имели вид трубки из чистого металла. Сейчас они могут быть сетчатыми, в виде колец и другой формы. Для их изготовления применяются различные материалы, есть стенты, которые выделяют лекарства для снижения риска появления тромбов. Изобретение и имплантация стента спасли миллионы жизней. Достаточно сказать, что до сих пор из-за несвоевременной диагностики ишемической болезни сердца в мире ежегодно погибают около 7 миллионов человек.

Этот важный элемент транспортной безопасности не сразу стал обязательным для водителя с пассажиром в автомобиле и для пилота в самолете. Эра воздухоплавания и автомобилестроения началась с изобретения двигателя внутреннего сгорания в начале 19-го века. Точно не известно, кто первым предложил использовать ремень безопасности. Считается, что это был английский изобретатель сэр Джордж Кэйли, работавший в то время над созданием летательных аппаратов. Это был обычный ремень вокруг талии, как сейчас в креслах пассажирских самолетов. С появлением первых летательных аппаратов и самодвижущихся экипажей стало ясно: при резком маневре или аварии водитель и пилот по инерции вылетают с сидений, что приводит к серьезным травмам или смерти. Поэтому ремни безопасности были актуальными и в то время.
С началом промышленного производства автомобилей в конце 19-го века участились аварии. Один из создателей французского автомобилестроения Луи Рено предложил в 1903 году пятиточечный ремень безопасности, который сейчас устанавливается в детских автокреслах или гоночных автомобилях. Но обязательными ремни безопасности сначала стали в авиации — в начале 1930-х годов. А первой страной, в которой установка ремня стала обязательной при производстве автомобилей, в 1957 году оказалась Швеция. Для сравнения: второй в мире стала Франция только в 1970 году. В те времена единого стандарта не существовало и устанавливались разные типы ремней — бедренные, поясные, пятиточечные.
Бывший авиаинженер Нильс Болин, в 1958 году работавший специалистом по безопасности в автомобильной компании, предложил универсальный трехточечный ремень безопасности — через плечо к бедру. После года тестов на манекенах был выбран именно этот вариант, поскольку он лучше всего удерживал человека при авариях и легко застегивался одной рукой. С тех пор его чаще остальных использовали при промышленном производстве автомобилей. Впрочем, вплоть до 1980 года в мире не было единого стандарта и трехточечные ремни устанавливались только на передних креслах автомобилей.

И в 1971 году появилась первая подушка безопасности для массового производства, а с 1980-х годов почти все ведущие автопроизводители Европы и США начали ее монтаж при сборке серийных машин. Вскоре оснащение автомобиля таким элементом безопасности стало обязательным.

В наши дни радиолокация — обнаружение объекта через отражение от него электромагнитных волн — по-прежнему актуальна. Управление воздушным движением диспетчеры и сегодня осуществляют при помощи радиолокации и спутниковой навигации. Радиолокацией, этой дедовской системой навигации, оснащены современные самолеты — как альтернативным способом ориентации. Но в этом случае летчики запрашивают радиолокационные координаты у диспетчеров, а затем рассчитывают параметры своего курса — скорость сноса, расстояние, оставшееся до цели маршрута. И до сих пор в таких самолетных системах есть доплеровский датчик-измеритель путевой скорости и угла сноса (ДИСС). Разработка радара стала возможной благодаря открытию нескольких явлений. Во-первых, в 1887 году немецкий физик Генрих Герц открыл электромагнитные волны и научился их генерировать. Также от заметил, что разные объекты по-разному поглощают и отражают электромагнитные волны. Например, металлы очень хорошо отражают радиоволны.
Во-вторых, помог эффект Кристиана Доплера, который в середине 19 века заметил, что частота волны излучения зависит от скорости и направления источника волн. Правда, он экспериментировал со светом и звуком, но они также имеют волновые свойства, поэтому эффект Доплера применим и к электромагнитным волнам. Например, если источник радиоволн (звука, света) приближается к приемнику, то его частота растет, а если удаляется — падает. Локатор посылает радиоволны с заданной частотой и известной скоростью (скоростью света), при их отражении от движущегося объекта меняется лишь частота, поскольку скорость электромагнитных волн постоянна. Остается решить несложную задачу: известны время прохождения сигнала туда-обратно и его скорость, надо лишь определить координаты объекта, отражающего сигнал.
Идея создания радиолокатора была запатентована в 1905 году Кристианом Хюльсмейером в Германии. Но для точного обнаружения объекта нужны были достаточно мощные передатчики волн и их приемники. Потребовалась разработка ряда устройств для создания локатора: были созданы магнетроны, клистроны, лампы бегущей волны, волноводы, усилительные и генераторные лампы.
Первый патент на создание радиолокационной станции получил шотландский физик Роберт Уотсон-Уотт в 1934 году. А в феврале 1935-го он показал действие первого собранного радиолокатора.
На кораблях радары начали устанавливаться в конце 1930-х, а в годы войны их стали использовать и на суше для обнаружения вражеских самолетов. В начале 1940-х годов британцы и американцы разработали бортовой радар для самолетов.
Принцип радиолокации заложен в системе предупреждения столкновения самолетов в воздухе (Traffic alert and Collision Avoidance System, TCAS), которая спасла тысячи жизней. Эта система установлена во всех современных самолетах для снижения риска столкновения воздушных судов. Каждый самолет оснащен транспондером — приемопередающим датчиком. Такой прибор постоянно посылает свои радиосигналы и в ответ может получить сигнал от опасно приблизившегося самолета. В сигнале содержатся координаты и идентификационные данные об объекте. При опасном сближении TCAS подает звуковой сигнал, одновременно мигает световая индикация. Также система выдает рекомендацию, какой маневр необходимо совершить. Кроме того, принцип радиолокации заложен в противолавинных датчиках. Датчик (бипер, трансивер) или отражающая пластина могут крепиться в одежде и работают в режиме излучения сигнала. В случае попадания человека под лавину датчики выживших переключаются в режим поиска сигнала. При приближении к попавшему в лавину интенсивность звуковой или световой индикации возрастает — шансы найти пострадавшего заметно увеличиваются.

Предвестником этого изобретения были рыцарские латы — с появлением в Европе в 14-м веке огнестрельного оружия стало ясно, что пробивная сила пули зависит от толщины лат и дальности стрельбы. С этого момента начинается гонка вооружений и защиты, но убойная сила огнестрельного оружия росла быстрее, чем эффективность защиты от пуль. Полную защиту солдату в этом случае было сложно обеспечить без ущерба для его мобильности. Тяжелые латы с большой толщиной металлических пластин сложно носить в бою, это может привести к обратному эффекту — повысить уязвимость солдата. Кроме того, изготовление таких лат было трудоемким, штучным. Поэтому от массового их использования отказались. В конце 17 века были созданы отдельные подразделения тяжелой кавалерии — кирасир. Сначала кирасы изготавливались из кованого железа, а затем из закаленной стали. Вес такой индивидуальной защиты мог превышать 20 килограммов. Но с появлением нарезного оружия использование подобных первых армейских бронежилетов стало неэффективным. Кирасы в армии разных стран перестали применяться после Первой мировой войны. В период Второй мировой войны персональная броня иногда использовалась в боевых самолетах.
Впервые массово армейские бронежилеты применили войска США в корейской кампании 1950−1953 годов. Тогда солдаты чаще гибли от осколков гранат, снарядов и авиабомб. Осколки имели небольшую кинетическую энергию, но оставляли тяжелые рваные раны. Поэтому в США было принято решение о создании бронежилета для защиты от осколков. К тому моменту были разработаны новые виды синтетической высокопрочной ткани — баллистический нейлон (он же нейлон Т-728). Армированные слои такой ткани позволили создать в 1951 году первый стандартный армейский бронированный жилет весом до 3,5 килограммов для массового применения. Стартовая партия достигла 30 тысяч комплектов и вполне защитила весь военный контингент США в Корее.
В 1952 году в США был выпущен второй тип бронежилета таким же весом, усиленный алюминиевыми пластинами. Затем на бронежилете появился водонепроницаемый чехол, поскольку стало заметно снижение защитных свойств при намокании. До 1970-х годов военные инженеры США пытались увеличивать число слоев из нейлона Т-728) — до 12−15-ти, но с соблюдением условия, чтобы стандартный армейский бронежилет весил не более 4 килограммов.
Все изменилось с изобретением в 1964 году волокна Kevlar ® (опять же, торговая марка со временем стала нарицательной — кевларом). Промышленное производство этой высокопрочной ткани началось с 1970 года. С тех пор вплоть до настоящего времени кевлар во всем мире остается одним из основных компонентов бронежилетов, защитных шлемов для военных и правоохранительных служб.
10. Спецодежда
Развитие химической и атомной промышленности, электроэнергетики, а вместе с тем растущая опасность техногенных аварий стали стимулом для создания специальной формы, защищающей человека от агрессивных сред. Создание современной спецодежды для ликвидации радиационного или химического заражения, тушения пожаров требует хорошего знаний физики и химии, разработки сложных технологий и длительных тестов. Новые ткани и материалы позволили добиться значительных успехов в этой области.
Но как показывает опыт России, электрик — не менее опасная профессия, чем ликвидатор техногенных аварий. Поэтому для этой профессии также была создана специальная одежда, способная спасти в критических ситуациях. Эффективность такой экипировки доказал случай электромонтера «Комиэнерго» Алексея Турбина. Куртка и штаны, почерневшие в нескольких местах, но так и не прожженные электродугой, спасли электрику жизнь. В апреле 2010 года Алексей Турбин при проведении переключений случайно задел токовые реле двух фаз и попал под действие электрической дуги. Его спасли термостойкая каска с защитным экраном и спецодежда, которая была создана с использований технологий и мета-арамида Nomex компании DuPont, имеющей большой опыт в производстве спецтканей и разработавшей ранее баллистический нейлон и кевлар. Электромонтер вообще мог отделаться легким испугом, если бы не забыл надеть термостойкий подшлемник, но в итоге пламя дуги попало под защитный козырек, и Турбин получил ожоги нижней части лица.
Это не единственный случай, когда спецодежда спасает жизни электриков в России. В августе 2008 года при проведении замеров на трансформаторной подстанции мастер Сергей Мишарин тоже попал под действие электрической дуги, но и тогда она не смогла прожечь костюм, защищенный Nomex. Эту спецодежду с благодарностью вспоминает и электромонтер Андрей Краснов: в апреле 2011 года он также попал под прямое воздействие электрической дуги, но выжил.
Рентген

Рентгеновские снимки — первая в мире диагностическая визуализация. Сложно представить современную больницу без такого обследования. Это и флюорография для проверки наших легких, и снимки при заболеваниях суставов или переломах костей. Обнаружение на ранних стадиях туберкулеза или опухоли в легких увеличивает шансы на выздоровление. Кроме того, жесткое рентгеновское излучение может уничтожать раковые клетки. Принципы современной рентгеноскопии используются и в системах безопасности (сканеры в аэропортах, вокзалах и т. д.), и в производстве. В металлургии или машиностроении равномерность просканированной X-лучами структуры указывает на хорошие прочностные характеристики деталей. Таким же образом проверяются прочность бетонных конструкций для монолитного домостроения, сварные швы сложных металлоконструкций.
Одно из важнейших изобретений, спасающих человеческие жизни, создано на основе открытия Вильгельма Конрада Рентгена — немецкого физика, работавшего в Вюрцбургском университете в конце 19-го века. Обнаруженное им излучение было названо в его честь и позже классифицировано как электромагнитные волны в диапазоне между ультрафиолетовым и гамма-излучением. Тогда не было известно, что такие короткие волны образуются при резком торможении ускоренных электронов в момент их столкновения с атомами вещества анода. Открытие было случайным: в 1895 году Вильгельм Конрад Рентген, изучая свечение в катодной трубке, вдруг увидел, что одновременно с включением или выключением прибора начинает появляться или исчезать свечение на лежащем рядом картоне, покрытом кристаллами платиноцианистого бария. При этом катодная трубка была обернута черной плотной бумагой. Включая и выключая катодную трубку, ученный сделал вывод, что она служит источником всепроникающего излучения, которое и заставляет светиться чувствительные кристаллы платиноцианистого бария.
Продолжая изучать X-лучи, Рентген получил на своем оборудовании первый снимок костного скелета — кисти руки. С тех пор основные элементы обычного рентгеновского аппарата мало изменились: катодная (рентгеновская) трубка, питающее устройство (два трансформатора) и пленка-фотобумага из соединений серебра с галогенами, которые темнеют с различной интенсивностью в зависимости от плотности просвечиваемого материала и тем самым формируют изображение.
В 1917 году для анализа рентгеновских снимков был применен экспоненциальный закон ослабления излучения в веществах, который показал высокую точность. Это привело к появлению компьютерной томографии (трехмерного рентгена) — послойного исследования тканей и создания изображения с учетом разности поглощения рентгеновского излучения различными по плотности тканями. Изобретатели томографа — американец Аллан Кормак, разработавший в 1963 году математический алгоритм для томографического восстановления изображения, и британец Годфри Хаунсфилдом из фирмы EMI Ltd. Британец, используя алгоритм Кормака, в 1971 году создал первый компьютерный рентгеновский томограф EMI-scanner для сканирования мозга. В 1979 году оба получили Нобелевскую премию за разработку компьютерной томографии. Томограф проводит более точное диагностирование отдельных органов, а в особенности важен для определения заболеваний мозга и сосудов. Многие жизни были спасены благодаря безошибочному определению типа инсульта при помощи компьютерной томографии, которая и до сих пор считается важным условием диагностирования такого заболевания.
2. Лучевая терапия

Первым эффективным методом борьбы с раковой опухолью было рентгеновское облучение. Почти сразу при открытии в 1895 году Х-лучей ученые заметили, что на частях тела, куда попадало излучение, оставались ожоги, что привело к мысли разрушать раковые клетки рентгеновским облучением. Первый сеанс рентгенотерапии был проведен 29 января 1896 года в Чикаго для пациентки с неоперабельным раком молочной железы. В течение последующих экспериментов стало известно, что рентгеновское излучение наиболее эффективно разрушает электронную структуру молекул в тканях с интенсивным делением клеток, что характерно для раковых опухолей. Поэтому такой вид лучевой терапии при раке легких до сих пор используется и в 10−15% случаев приводит к полному исцелению. Однако у этого способа есть побочные явления, как и у другого наиболее распространенного средства борьбы с раком — химиотерапии (введение лекарств через кровь или прием таблеток). Среди них — снижение иммунитета, аппетита, веса, появление слабости, тошноты, выпадение волос.
Второй способ лучевой терапии был найден также на рубеже 19 и 20 веков — при открытии радиации и радиоактивных элементов. В 1896 году француз Анри Беккерель, экспериментируя с солью урана, открыл естественную радиоактивность, а в 1898-м Мария Склодовская и Пьер Кюри открыли радиацию полония и радия. Тогда также были отмечены ожоги на участках тела, которые подвергались облучению. Но дозировать облучение в те годы не могли, поэтому появлялось мало сведений об успешном воздействии радиации на раковые клетки. Тем не менее именно эти эксперименты стали предвестником радиобиологии — науки о воздействии излучения на биологические объекты.
В мае 2013 года Mitsubishi Electric Corporation (MELCO) завершила сборку новой системы протонной терапии для лечения онкологических заболеваний, которая была разработана в Центре энергетических систем корпорации, расположенном в префектуре Хего (Япония). Технология, включает в себя ряд инновационных решений, таких как система генерации и канализации излучения повышенной мощности, высокоточное позиционирование луча при применении сканирующей системы, комбинированное использование технологий облучения сканирующим лучом и пассивного рассеивания с использованием коллиматоров на одном операционном столе.
При этом повышение интенсивности пучка частиц позволило сократить длительность облучения в 4 раза по сравнению с предыдущими системами, а это значит, что пациент проведет меньше времени в неподвижном зафиксированном состоянии. Высокоточное позиционирование луча при сканировании опухоли лучом выросло в 2 раза до 5 миллиметров, как и скорость сканирования — в 5 раз до 100 миллиметров в миллисекунду, что обеспечивает быстрое и аккуратное облучение даже сложной по форме опухоли, с минимизированным повреждением здоровых тканей. На данный момент в мире используются две технологии применения протонного облучения. Сканирующая система с помощью управляемого магнитами пучка частиц облучает точку за точкой всю опухоль. Технология пассивного рассеивания требует предварительного изготовления специального фильтра по форме опухоли — коллиматора, при прохождении через который пучок частиц равномерно облучает всю опухоль.
3. Искусственный клапан сердца

Это изобретение стало возможным с развитием кардиологии и появлением технологий по созданию синтетических тканей, полимерных материалов, не отторгаемых телом человека.
Миллионы жизней были спасены благодаря этому изобретению. Сердце человека четырехкамерное, и нарушение работы хотя бы одного из 4-х клапанов приводит к нарушению работы всей сердечной мышцы. В 1957 году был представлен первый искусственный действующий клапан с деталями из нержавеющей стали, волокна Nylon ® и створкой из политетрафтолэтилена Teflon ® (позже оба названия стали нарицательными и превратились в нейлон и тефлон). Патенты на изобретение обоих новаторских материалов принадлежат компании DuPont (нейлон в 1935 году, тефлон в 1937-м).
Первый имплантированный в сердце клапан в 1958 году имел створку из органосиликонового эластомера (полимера со свойствами резины). Современные клапаны делятся на два типа, в зависимости от используемого материала, — механические и биологические (например, из тканей клапанов сердца свиньи). В механических клапанах до сих пор применяются элементы из тефлона. Также используется пиролитический углерод, дакрон (синтетическое волокно).
4. Дефибриллятор

«Мы его теряем» — эта фраза многим знакома по кадрам кинофильмов. Как правило, одновременно с этими словами показывают прямую линию исчезнувших сердечных ритмов на мониторе компьютера. После этого к груди умирающего прикладывают два похожих на утюги устройства и слышится звук разряда. Если сердечные ритмы на экране не появляются, процедуру повторяют. Принудительный запуск сердечной мышцы электрическим разрядом спас очень многих людей.
Это устройство называется «дефибриллятор» — от обратного к фибрилляции сердца, когда мышечные сокращения различных частей происходят аномально аритмично.
При сильной фибрилляции сердце останавливается. Это явление первыми изучили Жан-Луи Прево и Фредерик Бателли, которые в 1899 году опубликовали результаты своих исследований по остановке сердечных сокращений у собак после удара током.
В 1930-х годах в разных странах была изучена возможность электрошоковой дефибрилляции у животных — собак, кошек, лягушек. К 1956 году Пол Золл провел первую успешную дефибрилляцию с применением переменного тока напряжением 110 вольт при операции на открытом сердце человека. С 1960 года в нескольких странах практически одновременно были созданы автономные дефибрилляторы. Эффективность этих устройств отмечена при воздействии мгновенным электрическим импульсом в доли секунды напряжением 1500 — 2500 вольт на обнаженное сердце во время операций и до 7000 вольт при невскрытой грудной клетке.
5. Стент

Заболевания сосудов наряду с сердечными болезнями остаются одними из самых опасных и частых в мире. Малоподвижный образ жизни, фастфуд, стрессы — и уже нарушается нормальный обмен веществ, паталогически меняется просвет сосудов. Это приводит к ишемической болезни сердца, инфаркту. Спасти человека в этой ситуации может только стент — искусственный элемент цилиндрической формы. Его вводят, как правило, через бедренную артерию на пластичном баллонном катетере к месту сужения сосуда. Хирург визуально наблюдает движение стента на экране рентгеновского аппарата. При достижении пораженного участка сосуда хирург активирует подачу газа в баллон, на котором закреплен стент, — раздуваясь, баллон вдавливает его в стенку сосуда. Регулируется требуемый просвет стента-сосуда за счет определенного давления в баллоне. После этого газ откачивается, но стент сохраняет заданный просвет.
Кардиохирурги давно обсуждали идею замены пораженного участка сосуда, но сложность была в правильном подборе материалов стента и в технологии его вживления. Наконец в 1986 году Жак Пуэль и Ульрих Зигварт впервые имплантировали стент больному во Франции. Первые стенты имели вид трубки из чистого металла. Сейчас они могут быть сетчатыми, в виде колец и другой формы. Для их изготовления применяются различные материалы, есть стенты, которые выделяют лекарства для снижения риска появления тромбов. Изобретение и имплантация стента спасли миллионы жизней. Достаточно сказать, что до сих пор из-за несвоевременной диагностики ишемической болезни сердца в мире ежегодно погибают около 7 миллионов человек.
6. Ремень безопасности

Этот важный элемент транспортной безопасности не сразу стал обязательным для водителя с пассажиром в автомобиле и для пилота в самолете. Эра воздухоплавания и автомобилестроения началась с изобретения двигателя внутреннего сгорания в начале 19-го века. Точно не известно, кто первым предложил использовать ремень безопасности. Считается, что это был английский изобретатель сэр Джордж Кэйли, работавший в то время над созданием летательных аппаратов. Это был обычный ремень вокруг талии, как сейчас в креслах пассажирских самолетов. С появлением первых летательных аппаратов и самодвижущихся экипажей стало ясно: при резком маневре или аварии водитель и пилот по инерции вылетают с сидений, что приводит к серьезным травмам или смерти. Поэтому ремни безопасности были актуальными и в то время.
С началом промышленного производства автомобилей в конце 19-го века участились аварии. Один из создателей французского автомобилестроения Луи Рено предложил в 1903 году пятиточечный ремень безопасности, который сейчас устанавливается в детских автокреслах или гоночных автомобилях. Но обязательными ремни безопасности сначала стали в авиации — в начале 1930-х годов. А первой страной, в которой установка ремня стала обязательной при производстве автомобилей, в 1957 году оказалась Швеция. Для сравнения: второй в мире стала Франция только в 1970 году. В те времена единого стандарта не существовало и устанавливались разные типы ремней — бедренные, поясные, пятиточечные.
Бывший авиаинженер Нильс Болин, в 1958 году работавший специалистом по безопасности в автомобильной компании, предложил универсальный трехточечный ремень безопасности — через плечо к бедру. После года тестов на манекенах был выбран именно этот вариант, поскольку он лучше всего удерживал человека при авариях и легко застегивался одной рукой. С тех пор его чаще остальных использовали при промышленном производстве автомобилей. Впрочем, вплоть до 1980 года в мире не было единого стандарта и трехточечные ремни устанавливались только на передних креслах автомобилей.
7. Подушка безопасности

И в 1971 году появилась первая подушка безопасности для массового производства, а с 1980-х годов почти все ведущие автопроизводители Европы и США начали ее монтаж при сборке серийных машин. Вскоре оснащение автомобиля таким элементом безопасности стало обязательным.
8. Радиолокация

В наши дни радиолокация — обнаружение объекта через отражение от него электромагнитных волн — по-прежнему актуальна. Управление воздушным движением диспетчеры и сегодня осуществляют при помощи радиолокации и спутниковой навигации. Радиолокацией, этой дедовской системой навигации, оснащены современные самолеты — как альтернативным способом ориентации. Но в этом случае летчики запрашивают радиолокационные координаты у диспетчеров, а затем рассчитывают параметры своего курса — скорость сноса, расстояние, оставшееся до цели маршрута. И до сих пор в таких самолетных системах есть доплеровский датчик-измеритель путевой скорости и угла сноса (ДИСС). Разработка радара стала возможной благодаря открытию нескольких явлений. Во-первых, в 1887 году немецкий физик Генрих Герц открыл электромагнитные волны и научился их генерировать. Также от заметил, что разные объекты по-разному поглощают и отражают электромагнитные волны. Например, металлы очень хорошо отражают радиоволны.
Во-вторых, помог эффект Кристиана Доплера, который в середине 19 века заметил, что частота волны излучения зависит от скорости и направления источника волн. Правда, он экспериментировал со светом и звуком, но они также имеют волновые свойства, поэтому эффект Доплера применим и к электромагнитным волнам. Например, если источник радиоволн (звука, света) приближается к приемнику, то его частота растет, а если удаляется — падает. Локатор посылает радиоволны с заданной частотой и известной скоростью (скоростью света), при их отражении от движущегося объекта меняется лишь частота, поскольку скорость электромагнитных волн постоянна. Остается решить несложную задачу: известны время прохождения сигнала туда-обратно и его скорость, надо лишь определить координаты объекта, отражающего сигнал.
Идея создания радиолокатора была запатентована в 1905 году Кристианом Хюльсмейером в Германии. Но для точного обнаружения объекта нужны были достаточно мощные передатчики волн и их приемники. Потребовалась разработка ряда устройств для создания локатора: были созданы магнетроны, клистроны, лампы бегущей волны, волноводы, усилительные и генераторные лампы.
Первый патент на создание радиолокационной станции получил шотландский физик Роберт Уотсон-Уотт в 1934 году. А в феврале 1935-го он показал действие первого собранного радиолокатора.
На кораблях радары начали устанавливаться в конце 1930-х, а в годы войны их стали использовать и на суше для обнаружения вражеских самолетов. В начале 1940-х годов британцы и американцы разработали бортовой радар для самолетов.
Принцип радиолокации заложен в системе предупреждения столкновения самолетов в воздухе (Traffic alert and Collision Avoidance System, TCAS), которая спасла тысячи жизней. Эта система установлена во всех современных самолетах для снижения риска столкновения воздушных судов. Каждый самолет оснащен транспондером — приемопередающим датчиком. Такой прибор постоянно посылает свои радиосигналы и в ответ может получить сигнал от опасно приблизившегося самолета. В сигнале содержатся координаты и идентификационные данные об объекте. При опасном сближении TCAS подает звуковой сигнал, одновременно мигает световая индикация. Также система выдает рекомендацию, какой маневр необходимо совершить. Кроме того, принцип радиолокации заложен в противолавинных датчиках. Датчик (бипер, трансивер) или отражающая пластина могут крепиться в одежде и работают в режиме излучения сигнала. В случае попадания человека под лавину датчики выживших переключаются в режим поиска сигнала. При приближении к попавшему в лавину интенсивность звуковой или световой индикации возрастает — шансы найти пострадавшего заметно увеличиваются.
9. Бронежилет

Предвестником этого изобретения были рыцарские латы — с появлением в Европе в 14-м веке огнестрельного оружия стало ясно, что пробивная сила пули зависит от толщины лат и дальности стрельбы. С этого момента начинается гонка вооружений и защиты, но убойная сила огнестрельного оружия росла быстрее, чем эффективность защиты от пуль. Полную защиту солдату в этом случае было сложно обеспечить без ущерба для его мобильности. Тяжелые латы с большой толщиной металлических пластин сложно носить в бою, это может привести к обратному эффекту — повысить уязвимость солдата. Кроме того, изготовление таких лат было трудоемким, штучным. Поэтому от массового их использования отказались. В конце 17 века были созданы отдельные подразделения тяжелой кавалерии — кирасир. Сначала кирасы изготавливались из кованого железа, а затем из закаленной стали. Вес такой индивидуальной защиты мог превышать 20 килограммов. Но с появлением нарезного оружия использование подобных первых армейских бронежилетов стало неэффективным. Кирасы в армии разных стран перестали применяться после Первой мировой войны. В период Второй мировой войны персональная броня иногда использовалась в боевых самолетах.
Впервые массово армейские бронежилеты применили войска США в корейской кампании 1950−1953 годов. Тогда солдаты чаще гибли от осколков гранат, снарядов и авиабомб. Осколки имели небольшую кинетическую энергию, но оставляли тяжелые рваные раны. Поэтому в США было принято решение о создании бронежилета для защиты от осколков. К тому моменту были разработаны новые виды синтетической высокопрочной ткани — баллистический нейлон (он же нейлон Т-728). Армированные слои такой ткани позволили создать в 1951 году первый стандартный армейский бронированный жилет весом до 3,5 килограммов для массового применения. Стартовая партия достигла 30 тысяч комплектов и вполне защитила весь военный контингент США в Корее.
В 1952 году в США был выпущен второй тип бронежилета таким же весом, усиленный алюминиевыми пластинами. Затем на бронежилете появился водонепроницаемый чехол, поскольку стало заметно снижение защитных свойств при намокании. До 1970-х годов военные инженеры США пытались увеличивать число слоев из нейлона Т-728) — до 12−15-ти, но с соблюдением условия, чтобы стандартный армейский бронежилет весил не более 4 килограммов.
Все изменилось с изобретением в 1964 году волокна Kevlar ® (опять же, торговая марка со временем стала нарицательной — кевларом). Промышленное производство этой высокопрочной ткани началось с 1970 года. С тех пор вплоть до настоящего времени кевлар во всем мире остается одним из основных компонентов бронежилетов, защитных шлемов для военных и правоохранительных служб.
10. Спецодежда

Развитие химической и атомной промышленности, электроэнергетики, а вместе с тем растущая опасность техногенных аварий стали стимулом для создания специальной формы, защищающей человека от агрессивных сред. Создание современной спецодежды для ликвидации радиационного или химического заражения, тушения пожаров требует хорошего знаний физики и химии, разработки сложных технологий и длительных тестов. Новые ткани и материалы позволили добиться значительных успехов в этой области.Но как показывает опыт России, электрик — не менее опасная профессия, чем ликвидатор техногенных аварий. Поэтому для этой профессии также была создана специальная одежда, способная спасти в критических ситуациях. Эффективность такой экипировки доказал случай электромонтера «Комиэнерго» Алексея Турбина. Куртка и штаны, почерневшие в нескольких местах, но так и не прожженные электродугой, спасли электрику жизнь. В апреле 2010 года Алексей Турбин при проведении переключений случайно задел токовые реле двух фаз и попал под действие электрической дуги. Его спасли термостойкая каска с защитным экраном и спецодежда, которая была создана с использований технологий и мета-арамида Nomex компании DuPont, имеющей большой опыт в производстве спецтканей и разработавшей ранее баллистический нейлон и кевлар. Электромонтер вообще мог отделаться легким испугом, если бы не забыл надеть термостойкий подшлемник, но в итоге пламя дуги попало под защитный козырек, и Турбин получил ожоги нижней части лица.
Это не единственный случай, когда спецодежда спасает жизни электриков в России. В августе 2008 года при проведении замеров на трансформаторной подстанции мастер Сергей Мишарин тоже попал под действие электрической дуги, но и тогда она не смогла прожечь костюм, защищенный Nomex. Эту спецодежду с благодарностью вспоминает и электромонтер Андрей Краснов: в апреле 2011 года он также попал под прямое воздействие электрической дуги, но выжил.
Только зарегистрированные и авторизованные пользователи могут оставлять комментарии.
0
Можно расширить список…
- ↓
0
Дефибриллятор запускает остановившееся сердце только в кино, в реальной жизни это сделать не получится. Он предназначен для восстановления нормального сердечного ритма после экстремального сбоя.
- ↓

