Как и в каких случаях пересаживают лёгкие
В наше время настолько сложно кого-то удивить пересадкой органов, что у многих даже найдутся знакомые, которые прошли через это. Подобные операции стали настолько обычным делом, что пересадить можно почти любой орган. Процесс пересадки легких очень сложен, и процент удачных операций ниже, чем хотелось бы. Давайте поговорим об этом и поймем вообще, как делают такие операции.

Трансплантация легких — хирургическая операция по полной или частичной замене пораженных легких (болезнь, травма, отклонения) здоровыми, изъятыми у донора (другого человека)
В настоящее время только такое радикальное вмешательство может сделать жизнь человека более качественной и более долгой, если у него есть серьезные повреждения этого органа. При этом, она является очень сложной и прибегают к ней только в самом крайнем случае, когда других шансов на спасение уже нет.
Главным ограничением после таких операций является то, что пациенту приходится долгое время, а то и всю оставшуюся жизнь, принимать иммуноподавляющие препараты. Иногда приходится активно пользоваться маской с кислородным баллоном, но обычно до этого не доходит и через какое-то время пациенты возвращаются к условно-нормальной жизни.

Особенно важно как можно быстрее все зашить, чтобы потеря крови была минимальной. А еще, так как операция производится рядом с сердцем, делать все надо очень осторожно. Даже несмотря на то, что сердце останавливается при операции, его все равно надо не повредить.
Впрочем, иногда легкие и сердце меняются, если можно так сказать, комплексно. Есть даже специальная операция. Проблем с совместимостью обычно не бывает, если органы взяты у одного и того же донора.
Такая операция сложнее и дольше, но иногда позволяет решить целый комплекс проблем, а не только те, которые связаны с болезнями легких.
Среди основных показаний есть такие заболевания, как хроническая обструктивная болезнь легких (ХОБЛ) и эмфизема легких. Таких случаев большинство — примерно треть.
Есть и другие показания для трансплантации, например: идиопатический фиброз легких (20,8 %); муковисцидоз (15,9 %); α1-антитрипсиновая недостаточность (7,1 %); первичная лёгочная гипертензия (3,3 %). Есть и еще другие заболевания, но их слишком много и на их долю суммарно приходится остальная часть назначений операции.
Решение о трансплантации принимается каждый раз группой врачей на основании того, насколько у пациента снизилось качество жизни (нужные препараты, баллоны, вентиляция легких). Обязательным условием является то, что должны быть исчерпаны все медикаментозные возможности лечения.

Обычно надо ждать своего донора, чтобы все совпало правильно. Иногда срок ожидания превышает время жизни пациента. В этом случае очередь может немного двигаться и пациенты, которые находятся в критическом состоянии и не могут ждать, получают органы раньше.
Перед операцией надо понять, что у пациента нет противопоказаний.
К абсолютным противопоказаниям чаще всего относятся случаи, когда пациенту нельзя принимать иммуноподавляющие препараты. Когда они могут вызвать более серьезные заболевания и сами по себе привести к смерти.
Например, к таким абсолютным противопоказаниям относятся:
злокачественные опухоли (сейчас или перенесённое в течение последних 5 лет)
инфекционные заболевания, в первую очередь ВИЧ/СПИД, гепатиты B и С
острые или хронические заболевания других органов и систем организма (сердечная недостаточность, печёночная недостаточность и т. д.)
наркомания, алкоголизм, табакокурение
психологические состояния, не позволяющие добиться продуктивного контакта с врачомп
сихические заболевания
С относительными противопоказаниями операция возможна, но часто она или просто не имеет смысла, или может нести риски, которые превышают средние значения для других пациентов. К ним относятся:
возраст более 65 лет
низкая физическая выносливость, невозможность выполнять простейшие физические упражнения
серьезные отклонения от нормы индекса массы тела
поражение дыхательных путей микробами или грибами, невосприимчивыми к препаратам.
В остальных случаях операция возможна, но все равно каждый раз решение принимается индивидуально на основании решения врача или врачебной комиссии.

Это Ники Лауда. Австрийский автогонщик, трехкратный чемпион F1, который чуть не сгорел заживо в кокпите разбитой Феррари. Ему пересадили легкое почти в 70 лет. И такое возможно.

Владимир Демихов. Иногда его методы были жутковаты, но он сделал очень много для советской и мировой трансплантологии.
Человеку легкие в первый раз пересадили 11 июня 1963 года. Сделал это Джеймс Харди из Университета Миссисипи. Правда, результат тоже можно назвать только условно удачным, так как пациент умер через две с половиной недели из-за почечной недостаточности.
Еще много лет операции тоже не удавались и пациенты умирали в течение очень небольшого времени после операции. Происходило это до 1978 года, пока не появился аппарат искусственного кровообращения и более сильные препараты, которые помогали во время операции и периода реабилитации.
Несмотря на то, что формально люди выживали и до этого, первой действительно удавшейся операцией считается пересадка легкого и сердца доктором Брюсом Рейцем из Стэнфордского университета в 1981 году. Ее сделали женщине с серьезным легочным заболеванием.
По статистике этого общества в год делается около 3 000 операций по пересадке легкий. Это не так мало, как могло бы быть, но существенно меньше, чем хотелось бы, ведь многие пациенты просто не дожидаются своей очереди.

Существует и статистика успешности операций. Согласно ей, пятилетняя выживаемость составляет более 50 процентов. Это означает, что больше половины людей, которым сделали операцию, живут после нее больше 5 лет. Медиана выживаемости составляет 5,4 года.
Медиана выживаемости — это то, сколько проживает половина пациентов после операции. Или сколько проживает половина пациентов с момента смертельного заболевания. Не путать со средним периодом жизни, который может отличатся. При расчете времени жизни после операции расчет среднего значения не актуален, так как все сильно зависит от возраста пациента.
Если говорить именно о самой операции, то ее стоимость сильно разнится от страны к стране и в среднем составляет около 95 000 долларов.

Обычно даже при таком повреждении не требуется пересадка легких. Но некоторые воспаления и развившаяся пневмония может привести к необходимости в такой операции. Правда, такая вероятность очень низкая. По крайней мере, пока. Вообще, вероятность умереть от последствий пневмонии есть и от них в мире умирает больше людей, чем от инфаркта миокарда. Такие смерти вызваны не самой пневмонией, а септическим шоком, который поражает другие органы и системы.
В любом случае, не стоит слишком расслабленно относиться к вероятности заболеть. Даже без таких крайних случаев, последствия все равно могут быть очень серьезными. Поэтому, просто берегите себя!

Что такое трансплантация легких
Трансплантация легких — это операция, которая дает возможность пересадить человеку новые легкие, если с его легкими что-то не так. Если говорить более научно, то трансплантация легких имеет следующее определение.Трансплантация легких — хирургическая операция по полной или частичной замене пораженных легких (болезнь, травма, отклонения) здоровыми, изъятыми у донора (другого человека)
В настоящее время только такое радикальное вмешательство может сделать жизнь человека более качественной и более долгой, если у него есть серьезные повреждения этого органа. При этом, она является очень сложной и прибегают к ней только в самом крайнем случае, когда других шансов на спасение уже нет.
Главным ограничением после таких операций является то, что пациенту приходится долгое время, а то и всю оставшуюся жизнь, принимать иммуноподавляющие препараты. Иногда приходится активно пользоваться маской с кислородным баллоном, но обычно до этого не доходит и через какое-то время пациенты возвращаются к условно-нормальной жизни.
Как делают пересадку легких
Операция по пересадке легких не сильно отличается от любой другой операции, связанной с трансплантологией. Главное, чтобы в ней вся команда действовала слаженно и очень быстро. После того, как грудная клетка вскрывается хирургом, у врачей есть не так много времени. Чем быстрее они все сделают, тем будет лучше.
Особенно важно как можно быстрее все зашить, чтобы потеря крови была минимальной. А еще, так как операция производится рядом с сердцем, делать все надо очень осторожно. Даже несмотря на то, что сердце останавливается при операции, его все равно надо не повредить.
Впрочем, иногда легкие и сердце меняются, если можно так сказать, комплексно. Есть даже специальная операция. Проблем с совместимостью обычно не бывает, если органы взяты у одного и того же донора.
Такая операция сложнее и дольше, но иногда позволяет решить целый комплекс проблем, а не только те, которые связаны с болезнями легких.
Кому нужна операция по пересадке легких
Логично предположить, что операция по пересадке нужна тому, кому уже не помогает другое лечение и необходимо какое-то более серьезное вмешательство.Среди основных показаний есть такие заболевания, как хроническая обструктивная болезнь легких (ХОБЛ) и эмфизема легких. Таких случаев большинство — примерно треть.
Есть и другие показания для трансплантации, например: идиопатический фиброз легких (20,8 %); муковисцидоз (15,9 %); α1-антитрипсиновая недостаточность (7,1 %); первичная лёгочная гипертензия (3,3 %). Есть и еще другие заболевания, но их слишком много и на их долю суммарно приходится остальная часть назначений операции.
Решение о трансплантации принимается каждый раз группой врачей на основании того, насколько у пациента снизилось качество жизни (нужные препараты, баллоны, вентиляция легких). Обязательным условием является то, что должны быть исчерпаны все медикаментозные возможности лечения.

Обычно надо ждать своего донора, чтобы все совпало правильно. Иногда срок ожидания превышает время жизни пациента. В этом случае очередь может немного двигаться и пациенты, которые находятся в критическом состоянии и не могут ждать, получают органы раньше.
Кому нельзя пересаживать легкие
Кроме показаний к пересадке легких, есть и противопоказания. Их не так много, но если они есть, пациенту, скорее всего, откажут в трансплантации. Впрочем, бывают и исключения. Случаи с исключениями называют относительными противопоказаниями. Когда точно нельзя делать операцию — абсолютными.Перед операцией надо понять, что у пациента нет противопоказаний.
К абсолютным противопоказаниям чаще всего относятся случаи, когда пациенту нельзя принимать иммуноподавляющие препараты. Когда они могут вызвать более серьезные заболевания и сами по себе привести к смерти.
Например, к таким абсолютным противопоказаниям относятся:
злокачественные опухоли (сейчас или перенесённое в течение последних 5 лет)
инфекционные заболевания, в первую очередь ВИЧ/СПИД, гепатиты B и С
острые или хронические заболевания других органов и систем организма (сердечная недостаточность, печёночная недостаточность и т. д.)
наркомания, алкоголизм, табакокурение
психологические состояния, не позволяющие добиться продуктивного контакта с врачомп
сихические заболевания
С относительными противопоказаниями операция возможна, но часто она или просто не имеет смысла, или может нести риски, которые превышают средние значения для других пациентов. К ним относятся:
возраст более 65 лет
низкая физическая выносливость, невозможность выполнять простейшие физические упражнения
серьезные отклонения от нормы индекса массы тела
поражение дыхательных путей микробами или грибами, невосприимчивыми к препаратам.
В остальных случаях операция возможна, но все равно каждый раз решение принимается индивидуально на основании решения врача или врачебной комиссии.

Это Ники Лауда. Австрийский автогонщик, трехкратный чемпион F1, который чуть не сгорел заживо в кокпите разбитой Феррари. Ему пересадили легкое почти в 70 лет. И такое возможно.
Когда сделали первую операцию по пересадке легких?
Не считая кустарных операций и тех, которые не были задокументированы, можно сказать, что первая операция по пересадке легких была произведена в 1946 году Владимиром Демиховым. Итогом той операции оказалось только то, что операция возможна технически. Она проводилась на собаке и ”пациент” не выжил из-за того, что орган отторгся.
Владимир Демихов. Иногда его методы были жутковаты, но он сделал очень много для советской и мировой трансплантологии.
Человеку легкие в первый раз пересадили 11 июня 1963 года. Сделал это Джеймс Харди из Университета Миссисипи. Правда, результат тоже можно назвать только условно удачным, так как пациент умер через две с половиной недели из-за почечной недостаточности.
Еще много лет операции тоже не удавались и пациенты умирали в течение очень небольшого времени после операции. Происходило это до 1978 года, пока не появился аппарат искусственного кровообращения и более сильные препараты, которые помогали во время операции и периода реабилитации.
Несмотря на то, что формально люди выживали и до этого, первой действительно удавшейся операцией считается пересадка легкого и сердца доктором Брюсом Рейцем из Стэнфордского университета в 1981 году. Ее сделали женщине с серьезным легочным заболеванием.
Статистика операций по пересадке легких
В рамках Всемирной организации здравоохранение существует структура, которая отвечает за учет и условное регулирование мировой трансплантологии. Кто-то называет ее Международным обществом трансплантации.По статистике этого общества в год делается около 3 000 операций по пересадке легкий. Это не так мало, как могло бы быть, но существенно меньше, чем хотелось бы, ведь многие пациенты просто не дожидаются своей очереди.

Существует и статистика успешности операций. Согласно ей, пятилетняя выживаемость составляет более 50 процентов. Это означает, что больше половины людей, которым сделали операцию, живут после нее больше 5 лет. Медиана выживаемости составляет 5,4 года.
Медиана выживаемости — это то, сколько проживает половина пациентов после операции. Или сколько проживает половина пациентов с момента смертельного заболевания. Не путать со средним периодом жизни, который может отличатся. При расчете времени жизни после операции расчет среднего значения не актуален, так как все сильно зависит от возраста пациента.
Сколько стоит пересадка легких
Цену на пересадку легких не совсем корректно считать отдельно. Обычно операция подразумевает целый комплекс лечения, который состоит из подготовительного процесса, медикаментов, самой операции, реабилитации и прочих внеплановых расходов.Если говорить именно о самой операции, то ее стоимость сильно разнится от страны к стране и в среднем составляет около 95 000 долларов.
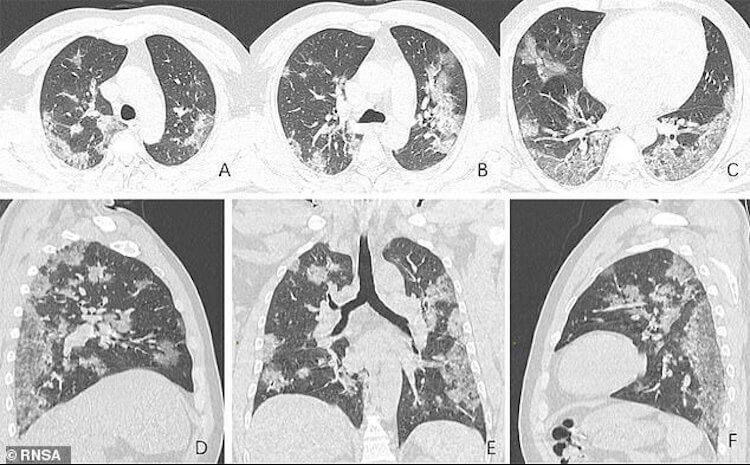
Требуется ли пересадка легких больным коронавирусом
Сам коронавирус не может привести к болезням, требующим пересадку легких. Правда, есть информация, что вирус, вызывая воспалительные процессы, может безвозвратно повредить до 20 процентов легких. Даже если болезнь протекает бессимптомно.
Обычно даже при таком повреждении не требуется пересадка легких. Но некоторые воспаления и развившаяся пневмония может привести к необходимости в такой операции. Правда, такая вероятность очень низкая. По крайней мере, пока. Вообще, вероятность умереть от последствий пневмонии есть и от них в мире умирает больше людей, чем от инфаркта миокарда. Такие смерти вызваны не самой пневмонией, а септическим шоком, который поражает другие органы и системы.
В любом случае, не стоит слишком расслабленно относиться к вероятности заболеть. Даже без таких крайних случаев, последствия все равно могут быть очень серьезными. Поэтому, просто берегите себя!
Только зарегистрированные и авторизованные пользователи могут оставлять комментарии.
0
Очень своевременная и полезная статья. Поэтому берегите себя и сидите дома. Самое безопасное.
- ↓
0
Моему другу ампутировали левое лёгкое. После пулевого.
Плохо это. Очень.
- ↓
+1
идиопатический фиброз легких… этот процент резко увеличится после ковида19.
- ↓
+1
Ники Лауда помер не столь давно.
- ↓
0
R.I.P. След оставил.
- ↑
- ↓

