Ученые дали ответ! Как алкоголь запускает жировую болезнь печени?

Специалисты из американской клиники Мэйо раскрыли скрытый механизм, который связывает употребление алкоголя с развитием жировой болезни печени. Вот что стоит узнать!

Ученые дали ответ! Как алкоголь запускает жировую болезнь печени?

Жировая болезнь печени — метаболически ассоциированная стеатотическая болезнь — сегодня поражает более трети жителей США. Она также ведет к диабету 2 типа и даже раку печени. При этом алкоголь лишь усиливает ее развитие, правда, до сих пор точный механизм был неизвестен.

Ученые дали ответ! Как алкоголь запускает жировую болезнь печени?

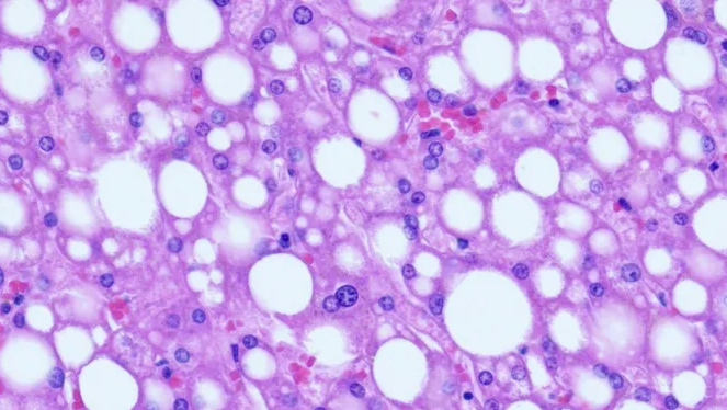
Гистологическое изображение жирной печени человека с большими белыми липидными частицами /newsnetwork.mayoclinic.org/

Как алкоголь приводит к болезни печени

Ученые из США показали, что в норме фермент VCP контролирует белок HSD17β13, удаляя его с поверхности липидных капель — жировых хранилищ в клетках печени.

Такой контроль не дает жирам накапливаться чрезмерно.

Однако при избыточном употреблении алкоголя VCP почти полностью исчезает с поверхности капель, и HSD17β13 быстро накапливается.

Это запускает патологическое разрастание жировых включений.

Визуализация процесса подтвердила, что VCP действует совместно с шапероновым белком и направляет поврежденные белки в лизосому для утилизации.

При блокировке этого пути нарушается баланс переработки жиров, и клетки печени начинают повреждаться.

«Мы были поражены: все опыты указывали на то, что именно VCP отвечает за перенос HSD17β13 с поверхности липидной капли к лизосоме», — отметила автор исследования Сандхья Сен.

По словам руководителя работы Марка МакНивена, выявленный механизм не только объясняет влияние алкоголя на печень, но и открывает перспективу создания лекарств, воздействующих на белок HSD17β13.

Исследование стало частью инициативы Precure, направленной на разработку инструментов для предсказания и предотвращения болезней еще до их перехода в тяжелые стадии.

Ученые уверены: понимание роли фермента VCP поможет не только лечить, но и заранее определять пациентов с высоким риском повреждений печени из-за алкоголя.

Оставить комментарий

Последние комментарии

Маринка

Во, надо мужу показать

Научный хит. Все самые интересные научные открытия.
2015 — 2025