8 впечатляющих рентгеновских снимков, которые можно показывать на уроках анатомии вместо учебника
Тело человека напоминает совершенный механизм. В то время, когда вы работаете, спите, занимаетесь спортом, ваше сердце качает кровь, а мозг трудится без отдыха. Мы бы не смогли посмотреть на эти процессы без изобретения Вильгельма Рентгена: 120 лет назад ученый открыл лучи, которые позволяют буквально видеть людей насквозь. Зато сегодня вы узнаете, какие секреты скрывает ваше тело.






1. Мозг пациента в коме и мозг здорового человека

2. Панорамный снимок челюсти. Мужчина забыл снять очки

3. Ребенок проглотил подвеску в виде Губки Боба

4. Трактография (специальный метод МРТ) показывает нервные волокна, соединяющие разные зоны мозга

5. Аппарат искусственного сердца AbioCor

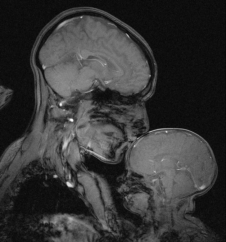
6. Женщина с младенцем в аппарате МРТ

7. Женщина сделала яркий макияж перед процедурой КТ. Аппарат отсканировал накрашенные ресницы

8. Рентгеновский снимок пациентки, которая прошла процедуру подтяжки золотыми нитями
Только зарегистрированные и авторизованные пользователи могут оставлять комментарии.

