Мозг людей увеличивается с каждым поколением — почему это хорошая новость
Человеческий мозг весит примерно 1,5 килограмма, а его объем может достигать 1260 кубических сантиметров. Он покрыт мозговой оболочкой, которая защищает его от ударов по черепу. Десятки его отделов отвечают за множество функций, начиная от мышления и запоминания информации и заканчивая контролированием частей тела. Недавно ученые провели исследование и выяснили, что объем головного мозга людей 1970-х годов больше, чем у представителей 1930-х.
Скорее всего, это результат сильного изменения окружающей среды, потому что в современном мире люди не испытывают особых проблем с питанием и отдыхом. Увеличение мозга считается хорошей новостью, потому что это повышает шансы молодежи на здоровую старость с сохранением ясного ума.
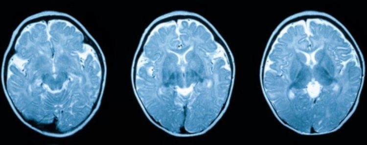
Анализ показал, что у людей 70-х годов объем головного мозга в среднем на 6,6% больше, чем у представителей 30-х годов. В частности, у них обнаружился больший объем белого и серого вещества. Белое вещество в головном мозге человека играет роль «проводника» информации между разными отделами. Серое вещество в мозге человека отвечает за обработку информации и контроль над нашими движениями. Также ученые обратили внимание на то, что за прошедшее между 1930 и 1970 годом время у людей на 5,7% увеличился объем гиппокампа. Так называется небольшая часть мозга, которая играет ключевую роль в памяти и обучении.

У людей 1930-х годов объем серого вещества в мозге был меньше, чем у современных людей. Изображение: Science Alert
По словам невролога Чарльза ДеКарла, на протяжении многих лет ученые считали, что в основном объем головного мозга зависит от генетики. Результаты проведенного ими исследования говорят о том, что на это также могут повлиять окружающие условия. В 1930-е годы у многих людей не было возможности полноценно питаться и получать образование. Спустя несколько десятков лет эти проблемы исчезли, жизнь людей стала более счастливой, из-за чего головной мозг и начал активнее развиваться.
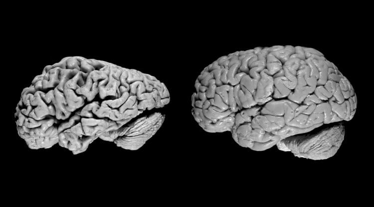
Сегодня в мире живут миллионы людей с болезнью Альцгеймера и другими формами деменции. У них сильно уменьшен объем серого вещества в головном мозге, но если с каждым поколением его количество будет увеличиваться само собой, люди будут страдать от деменции все реже. Судя по статистике, такая тенденция заметна уже сейчас — заболеваемость нейродегенеративными болезнями в США и Европе каждое десятилетие снижается примерно на 13%.

Мозг человека с деменцией (слева) и здорового человека (справа)
В ходе предыдущих исследований было доказано, что у людей с большим объемом мозга болезнь Альцгеймера протекает гораздо легче. Это можно назвать весомым доказательством гипотезы «запаса мозга». Согласно ей, чем крупнее у мужчины или женщины мозг, тем дольше он будет сохранять способность запоминать информацию и мыслить — болезнь попросту будет разрушать мозг медленнее из-за его большого объема.
Итак, в будущем люди имеют шансы на спасение от деменции. Но расслабляться не стоит, потому что злоупотребление алкоголем, малоподвижный образ жизни и отсутствие «зарядки» для мозгов все равно могут привести к разрушению структур одного из самых главных органов нашего тела.
К счастью, ученые постоянно изучают головной мозг человека и находят способы улучшения его способностей и даже лечения смертельно опасных заболеваний. В ходе многочисленных экспериментов исследователи смогли выделить запахи, которые могут улучшить работу мозга даже у пожилых людей. А в начале 2024 года хирурги совершили большой прорыв, полностью вылечив ребенка от рака мозга.
Скорее всего, это результат сильного изменения окружающей среды, потому что в современном мире люди не испытывают особых проблем с питанием и отдыхом. Увеличение мозга считается хорошей новостью, потому что это повышает шансы молодежи на здоровую старость с сохранением ясного ума.

Почему у людей увеличивается объем мозга
О том, что головной мозг людей за последнее столетие заметно увеличился, было рассказано в научном журнале Science Alert. Это было выяснено в рамках научного исследования, в ходе которого ученые изучили параметры мозга у 3000 людей. Они учитывали данные мужчин и женщин, которые родились в 1970-е и 1930-е годы, то есть с большой разницей в возрасте.Анализ показал, что у людей 70-х годов объем головного мозга в среднем на 6,6% больше, чем у представителей 30-х годов. В частности, у них обнаружился больший объем белого и серого вещества. Белое вещество в головном мозге человека играет роль «проводника» информации между разными отделами. Серое вещество в мозге человека отвечает за обработку информации и контроль над нашими движениями. Также ученые обратили внимание на то, что за прошедшее между 1930 и 1970 годом время у людей на 5,7% увеличился объем гиппокампа. Так называется небольшая часть мозга, которая играет ключевую роль в памяти и обучении.

У людей 1930-х годов объем серого вещества в мозге был меньше, чем у современных людей. Изображение: Science Alert
По словам невролога Чарльза ДеКарла, на протяжении многих лет ученые считали, что в основном объем головного мозга зависит от генетики. Результаты проведенного ими исследования говорят о том, что на это также могут повлиять окружающие условия. В 1930-е годы у многих людей не было возможности полноценно питаться и получать образование. Спустя несколько десятков лет эти проблемы исчезли, жизнь людей стала более счастливой, из-за чего головной мозг и начал активнее развиваться.
Снижение риска развития деменции
Ученые считают, что увеличение объема мозга у человека — это хорошая новость. По их мнению, благодаря этому в будущем люди будут меньше страдать от деменции. Так называется совокупность заболеваний, которые приводят к разрушению головного мозга и неспособности человека запоминать информацию, адекватно мыслить и так далее.Сегодня в мире живут миллионы людей с болезнью Альцгеймера и другими формами деменции. У них сильно уменьшен объем серого вещества в головном мозге, но если с каждым поколением его количество будет увеличиваться само собой, люди будут страдать от деменции все реже. Судя по статистике, такая тенденция заметна уже сейчас — заболеваемость нейродегенеративными болезнями в США и Европе каждое десятилетие снижается примерно на 13%.

Мозг человека с деменцией (слева) и здорового человека (справа)
В ходе предыдущих исследований было доказано, что у людей с большим объемом мозга болезнь Альцгеймера протекает гораздо легче. Это можно назвать весомым доказательством гипотезы «запаса мозга». Согласно ей, чем крупнее у мужчины или женщины мозг, тем дольше он будет сохранять способность запоминать информацию и мыслить — болезнь попросту будет разрушать мозг медленнее из-за его большого объема.
Итак, в будущем люди имеют шансы на спасение от деменции. Но расслабляться не стоит, потому что злоупотребление алкоголем, малоподвижный образ жизни и отсутствие «зарядки» для мозгов все равно могут привести к разрушению структур одного из самых главных органов нашего тела.
К счастью, ученые постоянно изучают головной мозг человека и находят способы улучшения его способностей и даже лечения смертельно опасных заболеваний. В ходе многочисленных экспериментов исследователи смогли выделить запахи, которые могут улучшить работу мозга даже у пожилых людей. А в начале 2024 года хирурги совершили большой прорыв, полностью вылечив ребенка от рака мозга.
Только зарегистрированные и авторизованные пользователи могут оставлять комментарии.
0
Таким образом, для психиатров психически абсолютно здоровым является человек без своего личного мнения, не сомневающийся в истинности общепринятых представлений о вселенной, человеке и обществе. Не претендующий на особые привилегии себе, беспрекословно исполняющий любые приказы начальства. Ни в коем случае не критикующий начальников и авторитетов, не занимающийся анализом и обобщениями…
- ↓
0
А вот противоположное мнение: Человеческий мозг постепенно уменьшается! И вот почему
www.techinsider.ru/science/11200-my-teryaem-mozg-vyzhivaet-glupeyshiy/
Автор — доктор биологических наук, профессор, руководитель отдела эмбриологии НИИ морфологии человека РАМН
- ↑
- ↓

