4 феерических факта о нашем теле
Разбираемся, зачем наш организм отращивает дополнительные кости.

Если на ваши руки попадёт немного отбеливателя, то вы можете почувствовать, как спустя некоторое время они становятся скользкими и будто намыленными. И даже если вы ополоснёте их водой без моющих средств, это ощущение всё равно не пропадёт.
Дело в том, что гипохлорит и гидроксид натрия, входящие в состав бытового отбеливателя, при контакте с кожей растворяют её верхний слой и начинают превращать кожное сало, жиры и масла… в мыло!
Растворённая отшелушенная кожа и омыленный гидроксидом натрия жир и вызывают ощущение скользкости пальцев. Так что не пренебрегайте перчатками во время уборки.

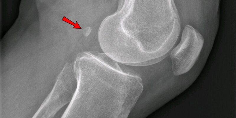
В теле взрослого человека 206 костей. Но иногда отдельные счастливчики могут отрастить ещё парочку — под коленными чашечками. Эти кости называются фабеллы. Они встраиваются в сухожилие икроножной мышцы.
Фабелла формируется не при рождении, а уже в довольно взрослом возрасте. Около 100 лет назад эти маленькие кости образовывались всего у 7,64% населения, но исследования 2019 года показали, что теперь фабеллы есть уже у половины людей.
А ещё говорят, что человек перестал эволюционировать.
Учёные не уверены, зачем фабеллы нужны. Может быть, они не делают ничего и даже приносят дополнительные боли людям с артритом. Но также есть вероятность, что фабеллы уменьшают трение в сухожилиях под коленной чашечкой, увеличивая механическую силу мышцы.
Возможно, это следствие того, что люди за последнее время начали лучше питаться и стали крупнее и тяжелее, а колени так к этому адаптируются.

Как вы полагаете, сколько у вас ноздрей? Естественно, две, скажете вы, и будете правы… но только наполовину. Потому что у людей есть ещё пара ноздрей, вот только мы их не видим. Эти два отверстия называются хоаны и находятся в горле. Через них вдыхаемый воздух попадает сначала в носоглотку, а потом в трахею, то есть дыхательное горло.
Такое устройство организма позволяет дышать и носом, и ртом при необходимости.
Хоаны достались нам в наследство от далёких предков‑рыб. Первоначально у тех имелись две пары ноздрей — одна засасывала воду внутрь, вторая выбрасывала наружу. Это было нужно для улавливания запахов в воде с помощью обонятельного эпителия внутри носа.
Потом у рыб, которые решили переселиться на сушу, появилась потребность дышать атмосферным воздухом. И одна пара их внешних ноздрей постепенно, за долгие миллионы лет эволюции, перешла в горло — чтобы посылать к новоприобретённым лёгким уже не воду, а воздух. И она так и осталась у всех четвероногих, в том числе и у нас.
Одним из «переходных звеньев» от водоплавающих животных к сухопутным является обнаруженная в Китае в 1993 году рыба кенихтис девонского периода, жившая 395 миллионов лет назад. У неё задние ноздри ещё не переместились в горло полностью, а торчали на нёбе между передними зубами. Так бывает, когда начал эволюционировать, но пока не довёл дело до вменяемого результата.
У человеческих эмбрионов на ранней стадии хоаны находятся в том же месте, что и у кенихтиса. И если они не соединятся, как полагается, то у ребёнка будет расщепление нёба. Эта патология встречается у одного из 1700 детей.

Мы уже как‑то рассказывали, что у человеческого кишечника имеется собственная нервная система, в которой больше нейронов, чем в голове среднестатистической кошки. Аналогичный «дополнительный мозг» есть и в другом жизненно важном органе — сердце.
Учёные Университета Джефферсона в Филадельфии составили карту этих нейронов, используя крыс в качестве подопытных. И выяснили, что по своему строению нервные клетки сердца практически идентичны тем, из которых состоит головной мозг — и у грызунов, и у людей. Этот «дополнительный процессор» позволяет точно настраивать сердечные ритмы.
Исследователи считают, что, подавая сигналы в эту нейронную сеть, можно будет излечивать множество заболеваний без дополнительного вмешательства кардиолога. Кстати, она соединена с основным мозгом блуждающим нервом. И именно поэтому стрессы, тревоги и неврозы негативно влияют в числе прочего и на сердце.
Поэтому по возможности избегайте волнений и больше размышляйте о хорошем.
1. Отбеливатель превращает нашу кожу в мыло

Если на ваши руки попадёт немного отбеливателя, то вы можете почувствовать, как спустя некоторое время они становятся скользкими и будто намыленными. И даже если вы ополоснёте их водой без моющих средств, это ощущение всё равно не пропадёт.
Дело в том, что гипохлорит и гидроксид натрия, входящие в состав бытового отбеливателя, при контакте с кожей растворяют её верхний слой и начинают превращать кожное сало, жиры и масла… в мыло!
Растворённая отшелушенная кожа и омыленный гидроксидом натрия жир и вызывают ощущение скользкости пальцев. Так что не пренебрегайте перчатками во время уборки.
2. Человеческое тело отращивает дополнительные кости

В теле взрослого человека 206 костей. Но иногда отдельные счастливчики могут отрастить ещё парочку — под коленными чашечками. Эти кости называются фабеллы. Они встраиваются в сухожилие икроножной мышцы.
Фабелла формируется не при рождении, а уже в довольно взрослом возрасте. Около 100 лет назад эти маленькие кости образовывались всего у 7,64% населения, но исследования 2019 года показали, что теперь фабеллы есть уже у половины людей.
А ещё говорят, что человек перестал эволюционировать.
Учёные не уверены, зачем фабеллы нужны. Может быть, они не делают ничего и даже приносят дополнительные боли людям с артритом. Но также есть вероятность, что фабеллы уменьшают трение в сухожилиях под коленной чашечкой, увеличивая механическую силу мышцы.
Возможно, это следствие того, что люди за последнее время начали лучше питаться и стали крупнее и тяжелее, а колени так к этому адаптируются.
3. На самом деле у нас четыре ноздри

Как вы полагаете, сколько у вас ноздрей? Естественно, две, скажете вы, и будете правы… но только наполовину. Потому что у людей есть ещё пара ноздрей, вот только мы их не видим. Эти два отверстия называются хоаны и находятся в горле. Через них вдыхаемый воздух попадает сначала в носоглотку, а потом в трахею, то есть дыхательное горло.
Такое устройство организма позволяет дышать и носом, и ртом при необходимости.
Хоаны достались нам в наследство от далёких предков‑рыб. Первоначально у тех имелись две пары ноздрей — одна засасывала воду внутрь, вторая выбрасывала наружу. Это было нужно для улавливания запахов в воде с помощью обонятельного эпителия внутри носа.
Потом у рыб, которые решили переселиться на сушу, появилась потребность дышать атмосферным воздухом. И одна пара их внешних ноздрей постепенно, за долгие миллионы лет эволюции, перешла в горло — чтобы посылать к новоприобретённым лёгким уже не воду, а воздух. И она так и осталась у всех четвероногих, в том числе и у нас.
Одним из «переходных звеньев» от водоплавающих животных к сухопутным является обнаруженная в Китае в 1993 году рыба кенихтис девонского периода, жившая 395 миллионов лет назад. У неё задние ноздри ещё не переместились в горло полностью, а торчали на нёбе между передними зубами. Так бывает, когда начал эволюционировать, но пока не довёл дело до вменяемого результата.
У человеческих эмбрионов на ранней стадии хоаны находятся в том же месте, что и у кенихтиса. И если они не соединятся, как полагается, то у ребёнка будет расщепление нёба. Эта патология встречается у одного из 1700 детей.
4. В нашем сердце есть маленький встроенный мозг

Мы уже как‑то рассказывали, что у человеческого кишечника имеется собственная нервная система, в которой больше нейронов, чем в голове среднестатистической кошки. Аналогичный «дополнительный мозг» есть и в другом жизненно важном органе — сердце.
Учёные Университета Джефферсона в Филадельфии составили карту этих нейронов, используя крыс в качестве подопытных. И выяснили, что по своему строению нервные клетки сердца практически идентичны тем, из которых состоит головной мозг — и у грызунов, и у людей. Этот «дополнительный процессор» позволяет точно настраивать сердечные ритмы.
Исследователи считают, что, подавая сигналы в эту нейронную сеть, можно будет излечивать множество заболеваний без дополнительного вмешательства кардиолога. Кстати, она соединена с основным мозгом блуждающим нервом. И именно поэтому стрессы, тревоги и неврозы негативно влияют в числе прочего и на сердце.
Поэтому по возможности избегайте волнений и больше размышляйте о хорошем.
Только зарегистрированные и авторизованные пользователи могут оставлять комментарии.
+1
Думай о хорошем, Я могу испортить )))
- ↓
0
Я одна пропела?
- ↑
- ↓

