Увидеть всё, что угодно
Скорее всего во вселенной мы не одни, просто инопланетяне мастерски прячутся от нас, потому что глядя на то, что вытворяют люди, вы на их месте тоже бы не захотели с собой знакомиться. Например, глядя на эту коллекцию рентгеновских снимков, создаётся ощущение, что у многих людей напрочь отсутствует мозг и инстинкт самосохранения.
Нам остается только догадываться, в каких ситуациях побывали «рентген-модели», но навряд ли они будут их вспоминать долгими вечерами за бокалом вина.

Ковырялся гвоздем в носу?

Крайне неудачная подводная рыбалка


Невезучий дачник


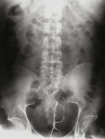
Задница — не самый лучший футляр для очков

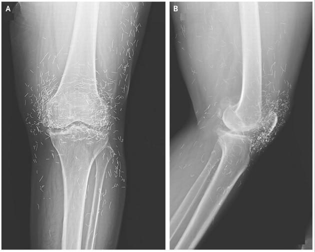
Сотни маленьких игл, используемых в иглоукалывании

Навряд ли он сел на бутылку


Фас

Профиль


Этот парень слишком буквально понял смысл фразы — «ты должен оставить прошлое позади»


Пришел в гости, принес всё с собой, точнее в себе


Я, конечно, не специалист, но по-моему, тут не нужен был рентген, чтобы понять, что произошло


«Бес в ребро», засунул нож


Зато ключи не забудет

Напнул пулю

Это… больно!









И собачка напоследок
Нам остается только догадываться, в каких ситуациях побывали «рентген-модели», но навряд ли они будут их вспоминать долгими вечерами за бокалом вина.

Ковырялся гвоздем в носу?

Крайне неудачная подводная рыбалка


Невезучий дачник


Задница — не самый лучший футляр для очков

Сотни маленьких игл, используемых в иглоукалывании

Навряд ли он сел на бутылку


Фас

Профиль


Этот парень слишком буквально понял смысл фразы — «ты должен оставить прошлое позади»


Пришел в гости, принес всё с собой, точнее в себе


Я, конечно, не специалист, но по-моему, тут не нужен был рентген, чтобы понять, что произошло


«Бес в ребро», засунул нож


Зато ключи не забудет

Напнул пулю

Это… больно!








И собачка напоследок
Только зарегистрированные и авторизованные пользователи могут оставлять комментарии.
0
Да уж только человек способен проглотить то что, нельзя назвать съедобным.
- ↓
0
Да знаем мы этот рентген. Берёшь ключи, кладёшь на них человека… А на снимке получается, будто ключи внутри человека. Так же и с черепами, проткнутыми копьями.
- ↓
0
ПОЛНЫЙ ОТСТОЙ!!! На большинстве снимков — это НЕ ЖИЛЬЦЫ, а рентгеновские снимки мертвяков родным НЕ НУЖНЫ — достаточно врачебного заключения и акта патологоанатома о причине смерти!
- ↓
+1
Ммм… с кассетой, бутылкой перебор. Вам любой хирург скажет, что просветить можно только металл… Так что очередной фотожоп… эт как медик грю.
- ↓
0
люди идиоты!
- ↓
0
Конечно во вселенной мы не одни! Все он инопланетяне)))
- ↓
+2
Очки в очко-каламбурец, однако!
- ↓
0
На все нужна сноровка. Ну и вообще, получить такое удовольствие, это садомаза небывалая. Жалко, что явный фотошоп… Такой простор для издевательства заабортом
- ↑
- ↓
0
Если снимки не посмертные, конечно, то несколько гвоздей в черепушке не так уж и страшно. :))
- ↓
+2
с очками особенно порадовал)))
- ↓

